Technology
Michael J Fox Foundation grant awarded to research brain MRI biomarkers in PD

The Michael J Fox Foundation for Parkinson’s Research has awarded AI software developer Icometrix a grant to continue exploratory work into brain biomarkers for the disease.
The grant from the foundation, set up by the Back to the Future actor following his early onset Parkinson’s disease diagnosis in 1991 at the age of just 29, will support the development of a regulatory-cleared solution to automatically analysing brain MRI scans to improve monitoring of PD patients in clinical routine.
It will also help with patient selection and outcome assessment in multi-centre drug development trials.
The Icometrix research is being led in collaboration with co-principal investigator Kathleen Poston, a professor of neurology and neurological sciences at Stanford Medicine in California in the US.
This Parkinson’s disease-specific MRI solution will be added to the CE-marked and US Food and Drug Administration-cleared Icobrain portfolio of Icometrix, that also contains solutions for Alzheimer’s disease, multiple sclerosis, epilepsy, traumatic brain injury, and stroke.
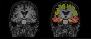
Icobrain tracks brain volume changes to evaluate disease progression, providing precise and relevant change metrics.
Annemie Ribbens, VP science and trials at Icometrix, said: “PD monitoring is typically performed based on clinical scores that are subjective and do not allow for a fine-grained evaluation of disease characteristics. Early and specific prediction of the disease progression is therefore challenging.
“It also restricts our understanding of the underlying neurodegenerative pathophysiology and thereby hampers research on disease modifying therapies in an already highly diverse PD population.

Dementia MRI with segmentation
“With this research, we aim to evaluate brain MRI patterns of PD patients that identify, early on, patients at risk for cognitive or motor problems.”
The first promising results of this project were presented at the Alzheimer’s Disease and Parkinson’s Disease Conference in Gothenburg, Sweden, in April 2023.
Brain MRI scans from Stanford and the Michael J Fox Foundation‘s landmark Parkinson’s Progression Markers Initiative (PPMI) – launched in 2010 to follow people, with and without PD, over time to learn more about how disease starts and changes – were evaluated in terms of volumetric patterns and correlated to corresponding clinical scores for motor and cognitive function.
The results show that regional brain volumetry assessment can serve as an important biomarker in prediction and differentiation of Parkinson’s disease patients at risk for motor and, or, cognitive disability progression.
Nearly 10 million people worldwide are living with Parkinson’s disease. The most common symptoms include motor problems such as shaking and stiffness, as well as difficulties with walking and balance.
In addition, approximately 30% of patients with Parkinson’s develop cognitive problems in the early stages of the disease, with a life-long risk of up to 80%.
However, Parkinson’s is extremely diverse with no two people experiencing the disease in the same way.
Icometrix – which has offices in both Leuven in Belgium and Boston in the US – says this highlights the need for a personalised prognosis and treatment approach.
News
Brain health collaboratory launches in Gulf South

A new brain health collaboratory from Cognito and Ochsner aims to test new ways of treating cognitive decline and Alzheimer’s disease.
The Brain Health Collaboratory is described as the Gulf South’s first statewide platform for non-invasive brain health innovation.
It will combine Cognito’s investigational Spectris technology with Ochsner’s clinical network to explore care models across urban and rural communities in the region.
Dr David Houghton, system chair of neurology at Ochsner Health, said: “This new collaboratory affords us the opportunity to pair emerging neurotechnology with real-world clinical care to better understand how we can slow cognitive decline, improve patients’ lives and open new therapeutic pathways for other neurological diseases in the future.”
At the centre of the initiative is Spectris, an investigational device for use at home that delivers synchronised light and sound stimulation through the brain’s natural sensory pathways.
The technology is designed to support healthy neural network activity and, according to its developers, has shown early promise in helping preserve brain structure and function in Alzheimer’s disease.
It received Breakthrough Device Designation from the US Food and Drug Administration in 2021 and is currently being evaluated in clinical trials.
The two organisations will also work on a Brain Health Index, a framework intended to track cognitive health, disease progression and treatment response in real-world care settings.
The programme will explore how Spectris could be integrated into clinical care models for patients experiencing cognitive decline.
Cambridge, Massachusetts-based Cognito Therapeutics describes itself as a late clinical-stage neurotechnology company focused on non-invasive neuroprotective therapies for neurodegenerative diseases.
Ochsner Health is the leading nonprofit healthcare provider in Louisiana, Mississippi and across the Gulf South, operating 47 hospitals and more than 370 health and urgent care centres.
The collaboratory will also explore ways to integrate the technology into programmes serving patients eligible for both Medicare and Medicaid, the US government health insurance schemes, where Alzheimer’s disease places a significant clinical and economic burden.
Christian Howell, chief executive officer of Cognito Therapeutics, said: “Ochsner’s reach across the Gulf South provides a unique opportunity to bring innovative brain health technologies to a broad patient population.
“Partnerships like this are essential to ensuring that new therapies can reach patients not just in major academic centres, but across entire healthcare systems that serve both urban and rural communities.
“Expanding access to patients is critical to generating real-world evidence and ultimately delivering new options for people living with Alzheimer’s disease.”
The Ochsner partnership is the second such collaboratory for Cognito, which launched its first in November 2025 with the West Virginia University Rockefeller Neuroscience Institute.
The company says it plans to build a broader network of collaboratories with health systems and academic medical centres to expand patient access and generate real-world evidence.
The Spectris technology may also have potential in a range of other neurological conditions, including Parkinson’s disease, multiple sclerosis, traumatic brain injury, stroke and addiction, according to the company.
However, it remains investigational and has not yet received regulatory approval.
News
Centenarian study probes healthy ageing

A centenarian study by HLI and LEV Foundation will examine why some people live past 100 and remain healthier for longer.
The collaboration will study blood samples from centenarians and supercentenarians, people aged 100 and 110 or over, to explore the biology of exceptional longevity.
Researchers are trying to answer a central question in ageing science: why do individuals age at different rates?
The study will use multi-omic analysis, including genomics and proteomics, which examine genes and proteins, to identify biomarkers and biological pathways linked to exceptional longevity.
Wei-Wu He, executive chairman at HLI, said: “Centenarians and supercentenarians offer natural insights in human ageing.
“By applying our precision longevity platform to those who have achieved exceptional longevity, we can better understand how to preserve health in late life for everyone.
“The knowledge gained here has the potential to reshape how we approach aging and age-related disease.”
The organisations say these rare groups represent a unique biological resource.
Their blood samples may contain molecular and cellular information that helps explain why some people age more slowly and maintain good health for longer than the wider population.
Building on those analyses, the study is expected to provide new insights into the mechanisms behind exceptional longevity and differences in ageing.
Comparative analyses of exceptionally long-lived people and broader population cohorts will aim to identify key molecular features of extreme longevity and help lay the groundwork for future longitudinal studies.
Human Longevity, Inc. (HLI) and LEV Foundation announced the collaboration. HLI, founded in 2013 and based in South San Francisco, says it integrates genomics, artificial intelligence and multimodal diagnostics to extend human healthspan.
LEV Foundation, founded in 2022, is a California-based nonprofit focused on extending healthy human lifespan, with its flagship Robust Mouse Rejuvenation study series examining combinations of promising anti-ageing interventions.
The project is being spearheaded by Natalie S. Coles-de Grey, who the organisations say brings decades of expertise in the study of supercentenarians.
Both Coles-de Grey and LEVF’s president and chief science officer, Aubrey de Grey, are joining HLI’s scientific advisory board.
de Grey said: “I’m delighted that LEVF is partnering with HLI to further both organizations’ goals.
“There is so much to be learned, from the oldest old in our society, that will refine the preventative medicine for the chronic conditions of late life that HLI has pioneered.
“Such work is immensely complementary to LEVF’s focus on mice, and I’m sure that this collaboration will have synergy that will save many future lives.”
The organisations said findings from the study are expected to contribute to the growing field of longevity science and may inform the development of diagnostics, therapeutics and preventive strategies aimed at extending healthspan across the global population.
Wellness
Social isolation is a horrible consequence of dementia – AI could be an answer

By Ruth Dixon, Programme Lead, Challenge Works
Humans are social creatures – connection to others is vital for good health and wellbeing.
Despite this, research conducted last year showed that almost one out of every four older individuals in the world feels lonely – a significant and saddening statistic.
Research has consistently shown that people who become socially isolated as they get older are more likely to develop dementia.
Furthermore, people who already have dementia tend to experience a faster decline of their symptoms when they are socially isolated.
This was particularly evident during COVID lockdowns when people with dementia were cut off from their social networks.
Faced with an aging population, we must ensure that people can continue to grow old with dignity, remain independent and stay connected with loved ones after a dementia diagnosis – something that artificial intelligence is helping to make possible.
Technology to combat social isolation
While there is no silver bullet to combat social isolation, there are technologies available that can help to support people to remain independent in their own home and maintain connections with their friends, family and community.
Doing so can help to preserve their dignity, identity and sense of purpose while reducing stress and anxiety through familiar surroundings.
It allows them to maintain daily routines and cognitive function for longer by living in a comfortable environment with known, consistent layouts.
Thanks to the rapidly evolving technological landscape, we are venturing far beyond basic solutions.
AI and machine learning enables innovators to support those living with dementia directly (not just their caregivers) and in turn, better mitigate the risk of social isolation – with more than three quarters (77 per cent) of family doctors believing this type of technology will help people with dementia to live longer.
Designing with and for people living with dementia
However, for dementia technology to be effective, it needs to be designed with, not just for, the end user.
MemoryAid is a fantastic example of a co-created solution.
Designed to be reminiscent of a traditional telephone, MemoryAid is a home assistant device that has been developed specifically for and with people living with dementia to help them make video calls and stay connected.
The touchscreens on everyday smartphones and tablets are not always designed with older users in mind.
Smartphones and tablets need to be kept charged and require dexterous movements, be it swiping, tapping or clicking small buttons to make or answer a call – a challenge for many people, let alone someone living with a neurodegenerative condition.
Rather than having to navigate a touchscreen device – to make and answer video calls with loved ones, friends and caregivers – MemoryAid users simply pick up the handset, a familiar action from a lifetime of practice, deeply ingrained in cognitive and muscle memory.
It was one of five international finalists in the Longitude Prize on Dementia – a global prize rewarding the development of assistive technologies for and with people living with dementia.
The £1 million grand prize was awarded to CrossSense, a revolutionary AI companion built into smart glasses to help people maintain their independence, in a ceremony last week.
But of course, it’s not just virtual connection that makes a difference to independence at home, physical safety matters too, especially in maintaining face-to-face relationships.
Enabling physical safety
A very different innovation, that also ran for the Longitude Prize on Dementia, is Theora360 – a wearable device to support people to live confidently at home without the fear of falling or wandering, enabling greater autonomy over their day to day lives.
Venturing outside independently can be difficult for people with cognitive impairments like dementia, with the fear of getting lost or falling and sustaining a serious injury presenting a barrier to leaving the house with confidence.
While most falls only result in minor injury, sometimes they can have a more serious impact – leading to a loss of mobility, independence and self-esteem.
Events such as hospitalisation and relocation can induce a range of negative experiences. A fall may cause someone to become home or bed-bound.
For someone with dementia, this may cause further distress as they may be unable to remember the cause of their injury or how to manage it effectively.
They are also more likely to experience worsening mental function as a result of pain or delirium.
If someone falls or wanders, Theora360 can alert a carer or loved one in real time, enabling rapid intervention. The sooner help can reach someone, it’s likely that the health consequences for them will be less severe.
The technology empowers people to retain agency over their social life, to go for their weekly coffee with a neighbour or visit the post office reassured that the support and assistance is there if they need it.
Facilitating meaningful moments
But where will AI take care next?
Solutions are continuously evolving.
The Theora 360 team, for example, is currently working with Texas A&M University to develop predictive capabilities based on changes in gait, to identify when a fall is likely and prevent it from happening in the first place.
There’s no doubt that technology is helping to shift the dial when it comes to combatting social isolation for people living with dementia.
By empowering people to remain independent, boosting confidence and helping to eliminate fear, AI can be a way to facilitate some of the most real and most meaningful moments between people.
Ruth Dixon is a Programme Lead at Challenge Works, a global leader in the design and delivery of open innovation challenge prizes for social good.
The Longitude Prize on Dementia is funded by Alzheimer’s Society and Innovate UK.











